欢迎访问江苏省超声诊断专业质量控制中心!

搜索
0512-62362333

病例分享

联系我们

江苏省超声诊断专业质量控制中心

联系人:殷林亮

电话:0512-62362333

地址:江苏省苏州市道前街26号 苏州市立医院超声诊断中心

病例分享

腹膜包涵囊肿

2021-10-15

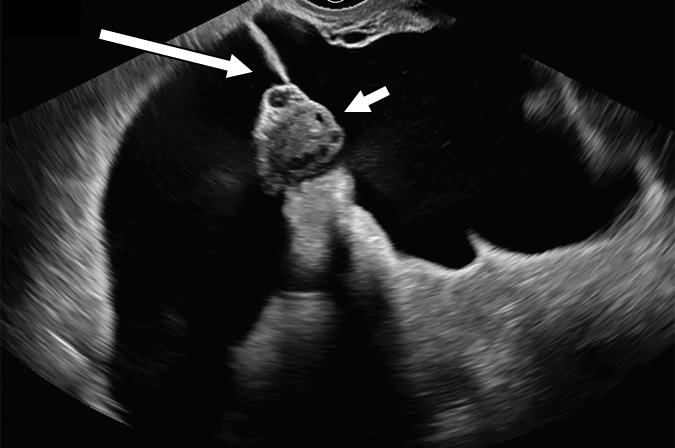
28 岁孕妇,有阑尾切除术史的,在孕早期评估时偶然发现:

包裹性积液.gif


超声图像:右侧盆腔积液无占位效应,与邻近盆腔器官相符;悬垂于内的卵巢(短箭头);和代表粘连的分隔(长箭头)。


经典良性病变,腹膜包涵囊肿 (O-RADS 2)。应注意不要将卵巢误认为是固体成分。


返回