联系我们
江苏省超声诊断专业质量控制中心
联系人:殷林亮
电话:0512-62362333
地址:江苏省苏州市道前街26号 苏州市立医院超声诊断中心
江苏省超声心动图检查质量控制
2023-03-01为规范超声心动图检查技术,提高心脏超声检查质量,参照国家超声质量控制中心制定的《超声检查规范及质量控制管理》要求结合我省的实际情况,制定江苏省超声心动图检查技术规范及质控要求(讨论稿),敬请大家提供宝贵建议。
一、操作规范
(一)探头标识与图像规范
经胸超声心动图探头为电子相控阵探头,探头侧方有一凸起的标识或指示灯,该标识所指的方向与屏幕图像上的标识相一致(通常位于屏幕图像右侧)。超声心动图所描述长轴切面相当于在心脏的长轴做纵向切面,指示向右肩方向,图像示主动脉在屏幕右侧;短轴切面相当于垂直于心脏的长轴切面做横切,指示向胸部外侧缘,图像示肺动脉或左心室游离壁位于屏幕右侧;心尖四腔切面相当于在心尖部做冠状切,指示向胸部外侧,图像示左房室位于屏幕右侧。
经胸超声心动图常用声窗包括胸骨旁左缘区、心尖部区、剑突下区、胸骨上窝区及胸骨旁右缘区。
(二)成人超声心动图常用切面及测量、留图要求
1.胸骨旁左室长轴切面
录动态图像。关注主动脉根部,2D舒张末测量窦部内径。如升主动脉增宽或主动脉瓣病变,2D收缩中期加测瓣环内径,舒张末测量窦管内径,升主动脉远端最宽径。建议2D测量左房最大前后径。以上测量帧留静态图像。
2.胸骨旁左室长轴切面彩色血流图
录动态图像。观察瓣膜及心腔内血流。
3.M型超声,心底切面,测量主动脉和左房内径
主动脉内径舒张末测量;收缩末测量左房内径。留静态图像。如已2D测量,该步骤可省略。
4.M型超声,二尖瓣腱索切面测量室间隔,后壁厚度,左室舒张/收缩末内径。
不推荐用Teichhloz法计算LVEF,CO,SV等心功能数据。但结合实际工作,对正常健康人,可结合目测法和Teichhloz法计算LVEF,CO,SV等心功能数据。测值录静态图像。
5.2D大血管短轴切面观察主动脉瓣,肺动脉瓣和右流出道。
录动态图像。PW测量右室流出道血流;CW测量肺动脉瓣口血流。录静脉图像。
6.D大血管短轴切面彩色血流图观察有无分流,VSD,PDA等。
录动态图像。
7.二尖瓣口水平短轴切面观察室壁运动,室壁厚度等。
录动态图像。
8.乳头肌水平短轴切面观察室壁运动,室壁厚度等。
录动态图像。
9.心尖水平短轴切面观察室壁运动,室壁厚度等。
录动态图像。
10.胸骨旁四腔显示房间隔、三尖瓣等。
录动态图像。
11.心尖四腔切面:测量PW二尖瓣口血流;PW测肺静脉血流。
二尖瓣口血流测量E峰,A峰,E峰下降进间(EDT)值,录静态图 ;PW测肺静脉血流,录静态图。
12.组织多普勒测间隔和侧壁e’。计算平均E/e’。 录静态图 。
13.心尖四腔心录2D和彩色动态图像。
14.心腔五腔心。PW测量左室流出道血流频谱;CW测量主动脉瓣口血流。录静态图。
15.心尖三腔心:彩色及2D。录动态图像。
16.心尖二腔心:彩色及3D。录动态图像。
17.心尖四腔心和/或二腔心计算LVEF.
无节段性运动异常可四腔心行单平面Simpson法测LVEF;节段性运动异常者双平面Simpson法测LVEF。录静态图像。
18.选择显示三尖瓣反流最佳图像(通常为胸骨旁四腔或心尖四腔离轴切面)测量三尖瓣收缩期最大压差。录静态图像。
19. 左房容积测量。尤其对前后径正常,目测左右径增大的左房,推荐面积长度法左房容积。录静态图像。
20.剑突下下腔静脉图像。录随呼吸内径变化动态图像。静态M超计算塌陷指数。
21.特殊病例鼓励运用二维斑点跟踪计算GLS,录牛眼图。
22.3D图像。有条件的单位选做。录动态图像。
23.特殊图像:如血栓;赘生物;肿瘤等。
(三)成人超声心动图测量数据示意图
图像 | 示意图 | 测量内容 |
左室长轴切面 关注主动脉根部切面 | ![]() | 舒张末测量窦部内径;窦管内径;升主动脉内径;以上均为上缘对上缘 |
左室长轴切面 关注主动脉根部切面 | ![]() | 左缩中期测流出道内径;瓣环内径;以上均为内缘对内缘 |
左室长轴切面 | ![]() | 收缩末(ECG的T波可左房最大时)测量左房前后径,内缘对内缘 |
M型主动脉根部切面 | ![]() | 主动脉窦部内径,上缘对上缘;左房前后径,内缘对内缘 |
M型腱索水平长轴切面 | ![]() | 舒张末测量室间隔厚度;左室后壁厚度;左室舒张末内径; |
左室长轴切面 | ![]() | 2D腱索水平舒张末测量左室舒张末内径 |
图像 | 示意图 | 测量内容 |
左室长轴切面 | ![]() | 左室收缩末测量收缩末内径,Teichhloz法测量EF |
大血管短轴切面 |
| 右室流出道PW 肺动脉瓣口CW
|
心尖四腔、 两腔心切面 |
| 根据心尖四腔、两腔切面分别描记左室收缩期、舒张期心内膜, 利用圆盘叠加模型根据Biplane法计算出左室舒张末、收缩末容积, 进而计算出左室EF。 |
图像 | 示意图 | 测量内容 |
心尖四腔心切面 |
| 二尖瓣口血流测量E峰,A峰,E峰下降时间(EDT), 组织多普勒测间隔和侧壁e’。计算平均E/e’ |
心尖五腔心切面 |
| 左室流出道PW 主动脉瓣口CW 加上测量左室流出道内径可计算主动脉瓣口面积 |
“牛眼图” | ![]() | 根据心尖四腔、两腔、三腔切面二维斑点跟踪技术, 得到左室17节段应变值,构成“牛眼图” |
图像 | 示意图 | 测量内容 |
关注右心的心尖四腔心切面 | ![]() | 测量三尖瓣环侧壁s’ |
关注右心的心尖四腔心切面 | ![]() | 三尖瓣环位移TAPSE |
关注右心的心尖四腔心切面 |
| 右室舒张末、收缩末期面积,右室面积改变分数。 |
剑突下下腔静脉切面 |
| 测量下腔静脉呼气末、吸气末内径,计算塌陷指数 ,评估右房压。 |
由于心脏是一个不停跳动的泵器官,其测量受着仪器、切面、时相、测量角度及图像质量等诸多因素影响,使规范化测量变得较为困难。超声心动图规范化测量需要注意选取标准的切面和时相,并且在规定的位置内进行测量,以尽量减少测量误差。
中国成年人超声心动图测量总体要求:与声束方向平行或近于平行的距离测量采用从回声前缘测到回声前缘(1eading edge to leading edge)的方法,与声束方向垂直或近于垂直的距离的测量采用从黑白界面测到黑白界面(black-white interface to black-white interface)的方法,亦即心腔或血管腔内膜与血液交界界面。
对于二维心脏结构测量主要包含5个部位:①左房前后径;②右房长径,横径,面积;③室间隔厚度,左室舒张末、收缩末径,左室后壁厚度,右室前后径;④肺动脉主干及分支内径;⑤主动脉根部及升主动脉测量
对于心脏频谱测量主要包含2个主要参数:①各个瓣膜峰值血流速度(PSV);②血流速度积分(VTI)。
对于左心室功能评估主要包含2个主要参数:① 左室射血分数;② 二尖瓣环组织多普勒相应参数,包括二尖瓣环舒张期E’峰速度;二尖瓣环舒张期A’峰速度;二尖瓣环收缩期S’峰速度。
(四)胎儿超声心动图规范化切面
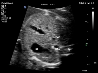
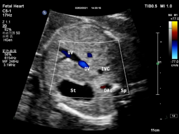
1、胃泡水平腹部横切面
| 显示结构 | 脊柱、胃泡、脐静脉腹内段、下腔静脉、腹主动脉 |
| 观察内容 | 1、2D:腹主动脉位于脊柱的左前方,下腔静脉位于脊柱的右前方,下腔静脉位于腹主动脉的右前方,胃泡位于左上腹腔,正常脐静脉位于腹中略偏左。 |
| 2、CDFI:显示脐静脉与下腔静脉之间的一段明亮血流,即静脉导管。 | |
| (图1、2) | |
| 测量参数 | PW:静脉导管血流频谱(图3)。 |
![]() | ![]() |
| 图1 胎儿胃泡水平腹部横切面二维显像 | 图2 胎儿胃泡水平腹部横切面彩色多普勒显像 |
注:UV:脐静脉;St:胃泡;DAo:降主动脉(腹主动脉);Sp:脊柱;IVC:下腔静脉;DV:静脉导管

图3 胎儿静脉导管血流频谱
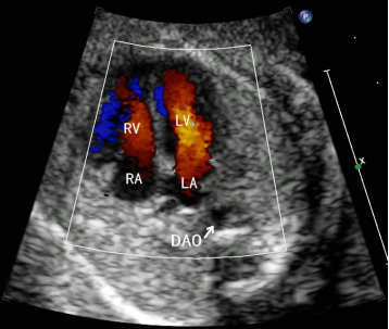
2、四腔心观
| 显示结构 | 脊柱、降主动脉、左心房、左心室、右心房、右心室、二尖瓣、三尖瓣、房间隔、卵圆孔及卵圆孔瓣、室间隔、肺静脉 |
| 观察内容 | 1、 心脏位于胸腔内,2/3位于左侧胸腔,1/3位于右侧胸腔,心脏长轴指向左侧并成角,平均为(45±20)°。心脏占胸腔面积约1/3。 |
| 2、 左心房离脊柱最近,与降主动脉位于同侧,左心房顶部有左、右肺静脉开口;左、右心房内径大致相等,其间为房间隔,可见卵圆孔及卵圆孔瓣朝左心房飘动。 | |
| 3、 心脏中央“十”字交叉结构存在,左房、室间为二尖瓣,右房、室间为三尖瓣,三尖瓣附着点更接近心尖部,两组房室瓣启闭活动自如;左心室腔内壁较光整,右心室腔呈三角形,内壁粗糙,并可见回声稍强的调节束。左、右心室横径接近或右心室稍大于左心室,两者之间为室间隔,室间隔回声无明显中断。 | |
| 4、 心包腔内无明显积液。 | |
| 5、 CDFI显示舒张期两侧房室瓣血流束宽度基本相等,收缩期无明显反流,卵圆孔处分流方向及宽度正常,室间隔无明显异常穿隔血流。 | |
| 6、 CDFI显示至少一支肺静脉汇入左心房。 | |
| 7、 胎儿心率及心律无明显异常。 | |
| (图4-6) | |
| 测量参数 | PW或M型:测量胎儿心率,观察胎儿心律(7图)。 |
| PW:测量二尖瓣、三尖瓣血流频谱(图8、9)。 |
![]() | ![]() |
图4 胎儿心尖四腔心观二维显像 | 图5 胎儿心尖四腔心观彩色多普勒显像 |
![]() | ![]() |
| 图6 胎儿心尖四腔心观彩色多普勒显像示肺静脉汇入左心房 | 图7 M型观察胎儿心率及心律 |
| 注:LV:左心室;LA:左心房;RV:右心室;RA:右心房;DAO:降主动脉;FO:卵圆孔; PV:肺静脉 | |
![]() | ![]() |
| 图8 胎儿二尖瓣血流频谱 | 图9 胎儿三尖瓣血流频谱 |
3、左心室流出道观
| 显示结构 | 左心房、二尖瓣、左心室、升主动脉、主动脉瓣、右心室 |
| 观察内容 | 1、 解剖左心室与升主动脉相连,升主动脉向上延续为主动脉弓走行为弓状。 |
| 2、 主动脉前壁与室间隔连续性完整,主动脉后壁与二尖瓣前叶呈纤维连续,室间隔回声未见明显中断。 | |
| 3、 主动脉瓣回声正常,启闭活动自如。 | |
| 4、 升主动脉内径正常。 | |
| 5、 CDFI:升主动脉内无明显异常湍流或逆向血流,室间隔无明显穿隔血流。 | |
| (图10、11) | |
| 测量参数 | 2D:收缩期主动脉瓣开放时测量瓣环内径(图12)。 |
| PW:主动脉瓣血流频谱((图13)。 |
![]() | ![]() |
| 图10 胎儿左室流出道观二维显像 | 图11 胎儿左室流出道观彩色多普勒显像 |
| 注:LV:左室;LA:左房;RV:右室;AAO:升主动脉 | |
![]() | ![]() |
| 图12 胎儿主动脉瓣环测量 | 图13 胎儿主动脉瓣血流频谱 |
4、右心室流出道观
| 显示结构 | 右心室、肺动脉、肺动脉瓣 |
| 观察内容 | 1、 解剖右心室与肺动脉相连,肺动脉主干内径无明显异常。 |
| 2、 肺动脉瓣回声正常,启闭活动自如。 | |
| 3、 CDFI:肺动脉内无明显异常湍流或逆向血流。 | |
| (图12、13) | |
| 测量参数 |
![]() | ![]() |
| 图12 胎儿右室流出道二维显像 | 图13 胎儿右室流出道彩色多普勒显像 |
| 注:RV:右心室;PV:肺动脉瓣;PA:肺动脉;LV:左心室 | |
5、三血管观
| 显示结构 | 脊柱、肺动脉、主动脉、上腔静脉、动脉导管、降主动脉 |
| 观察内容 | 1、 从左向右依次是肺动脉长轴、主动脉短轴、上腔静脉短轴;肺动脉最靠前,上腔静脉最靠后。 |
| 2、 肺动脉、主动脉、上腔静脉内径从左到右逐渐减小,肺动脉比主动脉宽15%-20%。 | |
| 3、 动脉导管内径及走行无明显异常。 | |
| 4、 调整探头角度可显示主肺动脉发出左、右肺动脉分支,呈“八”字形。 | |
| 5、 CDFI:肺动脉及动脉导管内无明显异常湍流或逆向血流。 | |
| (图14、15、16) | |
| 测量参数 | 2D:收缩期肺动脉瓣开放时测量瓣环内径(图17)。 |
| PW:肺动脉瓣血流频谱(图18)。 |
![]() | ![]() |
| 图14 胎儿三血管观二维显像 | 图15 胎儿三血管观彩色多普勒显像 |
![]() | |
图16 胎儿三血管观(肺动脉分支)二维显像 注:SVC:上腔静脉;Ao:主动脉;PA:肺动脉;DA:动脉导管;DAo:降主动脉;Sp:脊柱;LPA:左肺动脉;RPA:右肺动脉 | |
![]() | ![]() |
| 图17 胎儿肺动脉瓣环测量 | 图18 胎儿肺动脉瓣血流频谱 |
6、三血管-气管观
| 显示结构 | 脊柱、肺动脉、主动脉横弓、气管、上腔静脉 |
| 观察内容 | 1、从左向右依次是肺动脉长轴、主动脉横弓长轴、上腔静脉短轴;肺动脉最靠前,上腔静脉最靠后。 |
| 2、主动脉横弓位于气管左侧,内径无明显异常。 | |
| 3、主动脉横弓延续为降主动脉,动脉导管汇入降主动脉,二者相交形成“V”形。 | |
| 4、CDFI:主动脉横弓与肺动脉血流方向相同且均无异常湍流,呈“V”形汇合于降主动脉。 | |
| (图19、20) | |
| 测量参数 | 2D:主动脉横弓及峡部内径(或于主动脉弓长轴观测量)。 |
![]() | ![]() |
| 图19 胎儿三血管气管观二维显像 | 图20胎儿三血管气管观彩色多普勒显像 |
注:SVC:上腔静脉;AO:主动脉;PA:肺动脉;Tr:气管 | |
7、主动脉弓长轴观
| 显示结构 | 升主动脉、主动脉横弓、降主动脉、主动脉弓分支 |
| 观察内容 | 1、 主动脉弓弯曲度较大,形似“拐杖把”,从右向左分别发出头臂干、左颈总动脉及左锁骨下动脉三个分支。 |
| 2、 主动脉横弓与降主动脉延续性好。 | |
| 3、 主动脉弓各段内径正常,横弓及峡部内径未见明显变细。 | |
| 4、 CDFI:主动脉弓血流方向正常。 | |
| (图21、22) | |
| 测量参数 | 2D:主动脉横弓及峡部内径。 |
| PW:主动脉峡部血流频谱(图23)。 |
![]() | ![]() |
| 图21 胎儿主动脉弓长轴观二维显像 | 图22 胎儿主动脉弓长轴观彩色多普勒显像 |
图23 胎儿主动脉峡部血流频谱 注:AA:主动脉弓;DAO:降主动脉;1、2、3:主动脉弓分支 | |
8、动脉导管弓长轴观
| 显示结构 | 右心房、三尖瓣、右室流出道、主动脉根部、肺动脉瓣、肺动脉主干、动脉导管、降主动脉 |
| 观察内容 | 1、 右心房、三尖瓣、右室流出道、肺动脉主干、动脉导管包绕主动脉根部,形似“曲棍球杆”。 |
| 2、 动脉导管与降主动脉连接,动脉导管走行及内径无明显异常。 | |
| 3、 CDFI:肺动脉主干及动脉导管内未见明显异常湍流或逆向血流。 | |
| (图24、25) | |
| 测量参数 | 2D:动脉导管内径。 |
| PW:动脉导管血流频谱(图26)。 |
![]() | ![]() |
| 图24 胎儿动脉导管弓长轴观二维显像 | 图25 胎儿动脉导管弓长轴观彩色多普勒显像 |
图26 胎儿动脉导管血流频谱 注: DAO:降主动脉; DA:动脉导管;PA:肺动脉;Ao:主动脉;RVOT:右室流出道;RA:右心房 | |
9、上、下腔静脉长轴观
| 显示结构 | 右心房、上腔静脉、下腔静脉。 |
| 观察内容 | 1、上、下腔静脉与右心房相连,呈“海鸥征”。 |
| 2、上、下腔静脉内径基本相等。 | |
| (图27) | |
| 测量参数 |

图27 胎儿上、下腔静脉长轴观
注:SVC:上腔静脉;RA:右房;IVC:下腔静脉
(五)儿童超声心动图规范切面
儿童超声心动图检查中,剑突下切面和胸骨上窝切面是非常重要的切面

1、剑突下腹部横切面,探头与脊柱垂直
关注:脊柱位于图像正中,关注内脏、腹部大血管的位置。
观察内容:脊柱位于图像正中,左前方为腹主动脉,右前方为下腔静脉,肝脏位于右侧大部分。关注腹主动脉和下腔静脉内径比,可以评估下腔静脉容量负荷。

2、剑突下四腔心切面
关注:心脏位置:心尖是否指向左侧,与内脏位置是否一致。
观察内容:2D观察心脏位置、心脏与内脏位置是否一致。观察左右心房、左右心室、房室瓣、形态、位置是否正常。CDFI观察瓣膜口血流情况。

3、剑突下五腔心
关注:在四腔心基础上声束向上,出现左室流出道和主动脉
观察内容:2D观察左心室、左室流出道、主动脉瓣和升主动脉的形态和位置。CDFI观察主动脉瓣口血流。

4、剑突下两房切面,在四腔心基础上顺时针旋转探头,直至心室消失
关注:房间隔,尽可能把房间隔显示最长;
观察内容:2D观察房间隔连续性,是否有回声缺失;CDFI观察沿房间隔的穿隔血流情况。

5、剑突下上、下腔静脉切面:四腔心切面探头顺时针转90度
关注:上、下腔静脉回流入右房;
观察内容:2D观察上、下腔静脉的形态、内径,房间隔连续性;CDFI观察上、下腔静脉回流血流速度,流量,必要时PW测量其流速。观察房间隔穿隔血流情况。异常留动静态图。

6、胸骨上窝主动脉弓长轴切面
关注:主动脉弓左弓、右弓;三支头臂动脉,主动脉峡部,弓下方的右肺动脉;
观察内容:2D观察各个结构的形态和位置;CDFI观察升主动脉、弓横部、峡部血流及流速,留动态图。异常情况留2D测量图及CW血流频谱。

7、胸骨上窝主动脉弓段轴切面
关注:无名静脉汇合为上腔静脉,右肺动脉和肺静脉;
观察内容:2D观察各个结构的形态和位置,肺静脉回流入左房;CDFI观察上腔静脉的血流,四支肺静脉的回流情况及流速。异常情况留2D测量图及PW血流频谱。


8、冠状动脉切面:大动脉短轴切面,探头分别向左冠窦和右冠窦侧动,显示左、右冠状动脉。
关注:左、右冠状动脉的起源、分叉
观察内容:2D观察左冠状动脉主干、前降支、回旋支和右冠状动脉的内径、内膜线等有无局限性扩张,管腔内光整度等;CDFI观察:将SCALE调至30左右,显示双侧冠状动脉内红色血流。
二、报告书写规范
心脏超声检查报告一般分为以下几个部分:基本信息、声像图、超声描述(即超声所见,包括文字描述和数据表格)和超声提示(即诊断印象)(表6-3-1)。
表6-3-1 超声心动图报告基本内容
基本信息
患者姓名
患者年龄/出生日期
患者性别
患者来源
门诊号/病历号
临床诊断/检查原因
身高
体重
血压
检查日期
检查地点/检查诊室
超声仪器
检查者/审核者/记录者
超声描述/检查所见
心脏结构的描述
测量部分(定量资料)
多普勒(血流动力学)观察发现
超声提示/诊断印象
1.超声描述
超声描述(即超声所见)应包括对心脏结构的描述、心功能测定及多普勒(血流动力学)的观察所见,标准格式为定量测量的数据填写在格式化的表格中,结构和血流动力学的描述以文字书写在超声所见中。
①房室腔和血流的测量(定量资料):应包括心脏结构功能的测量和血流动力学参数的测量。
表 超声心动图报告房室腔和血流的测量
项目 测量内容
心脏房室腔 | 左心房 | 前后径、左右径、上下径、面积、容积(必要时) |
左心室 | 室间隔及后壁舒张末厚度、舒张末前后径,收缩末前后径 | |
右心房 | 左右径、上下径、面积(必要时) | |
右心室 | 舒张末前后径、横径、游离壁厚度 | |
瓣膜 | 二尖瓣 | E峰、A峰、e'、减速时间;(必要时)瓣口面积、前向峰值压差/平均压差、速度时间积分、反流速度/峰值压差、瓣环大小 |
三尖瓣 | E峰;反流速度/峰值压差、(必要时)瓣环大小 | |
主动脉瓣 | 瓣环大小、峰值流速/压差;(必要时)平均压差、瓣口面积、速度时间积分 | |
肺动脉瓣 | 峰值流速/压差;反流速度/峰值压差 | |
大血管 | 主动脉 | 根部、窦部、窦管交界、升主动脉近端内径 |
肺动脉 | 主肺动脉内径、左右肺动脉内径 | |
分流 | 心内分流 | 分流血流速度及压力阶差 |
心室功能 | 左心室功能 | LVEF、E峰、e'峰、E/e'、左房容积指数、三尖瓣反流峰值速度 |
右心室功能 | TAPSE、S'、RVFAC |
肺动脉压力估测 三尖瓣反流峰值速度及压力阶差
②心脏结构的描述:应包括对左心房、左心室、右心房、右心室、二尖瓣、三尖瓣、主动脉瓣、肺动脉瓣、房间隔、室间隔、主动脉、肺动脉、心包及心包腔的描述,必要时还应描述上腔静脉、下腔静脉和肺静脉的情况。针对复杂先天性心脏病患者,应根据先天性心脏病节段分析法顺序描述心房、心室、大动脉的解剖结构改变。
③多普勒(血流动力学)的描述:应包括对瓣膜的前向血流、反流、心内血流和心内分流的描述。
表 超声心动图报告心脏结构和多普勒的描述
项目 描述内容
项目 | 描述内容 | |
心脏房室腔 | 大小、形态、结构 | |
大血管 | 主动脉 | 主动脉根部/升主动脉/主肺动脉及其分支形态、发育,管腔内有无异常回声 先天性心脏病需描述腔静脉、肺静脉与心房的连接关系 |
肺动脉 | ||
腔静脉及肺静脉 | ||
间隔 | 房间隔 | 连续性(有无连续性中断,部位),残端,异常发现(异常回声) |
室间隔 | ||
瓣膜 | 二尖瓣 | 瓣叶形态(厚度,有无钙化及程度,瓣口面积,异常发现:瓣叶裂/穿孔/异常回声等) |
三尖瓣 | ||
主动脉瓣 | ||
肺动脉瓣 | ||
心包及心包腔 | 心包 | 心包厚度,心包有无钙化,脏壁层有无粘连、有无相对运动 |
心包腔 | 有无积液,积液部位,有无异常回声/部位/活动度/与心脏关系 | |
多普勒 | 瓣膜血流 | 瓣膜前向血流加速/减低 |
瓣膜反流 | 瓣膜反流有无/程度 | |
心内血流 | 心腔有无血流暗淡/血流自发显影/加速 | |
心内分流分流部位、方向、时相、分流速度
2.超声提示
超声提示(即诊断印象)部分是整个检查的总结陈述,应对心脏的结构、心内血流、心内压力、心脏功能改变进行总结,回答开具申请单的医生提出的问题、强调异常发现并与以往的超声心动图检查进行对比。
3.报告模板示例
正常超声心动图一般包括描述性和数据表格两个部分,下面就描述性报告模板示例:
超声所见: 各房室腔内径测值在正常范围。房、室间隔连续完整。室间隔及左、右室壁心肌回声正常,厚度正常,运动协调,运动幅度正常。各瓣膜形态、结构、启闭运动未见异常。大动脉关系、内径正常。心包腔未见异常。 多普勒检查:心内各部未探及异常血流信号。 超声提示: 静息状态下 心内结构、血流未见异常 心脏功能未见明显异常 |
三、质量控制方案
1、操作规范的质控
应按照以上超声诊断规范对超声心动图检查的完整性、连贯性、熟练程度,仪器调节合适,测量切面标准,测量参数齐全等指标进行质控评分。
2.存图合格的质控
采用抽查报告上的附图和工作站存图两种方式进行存图合格的质控。如报告存图合格率。
存图合格的标准:
①仪器调节适当:符合超声心动图仪器调节的要求,灰阶超声清晰显示心腔、心肌、瓣膜及心内膜;彩色多普勒超声彩色取样框大小合适,调节血流标尺合适,所探查正常瓣膜前向血流呈层流,无明显的彩色混叠或外溢;频谱多普勒声束尽可能与血流方向平行,取样门大小合适,每幅图包含3~5个连续完整一致的频谱,频谱尽量放大且不出现混叠。
②存图切面标准:图像包含文字标识,测量点正确,存储必要的阳性图像和重要的阴性切面。
3.报告书写规范的质控
报告书写合格率=(抽查报告中的书写合格数/抽查报告数)*100%
报告书写合格的标准: 符合报告书写要求,基本信息齐全,描述和诊断规范,内容完整,数据和文字无误。
4. 超声诊断符合率
超声诊断符合率=(超声诊断正确例数/对照方法确诊例数)*100%
在所抽查的超声心动图检查病例中,将同时进行影像学检查如心脏CT、CMR、心血管造影或外科手术确诊的病例规定为有效病例。与影像学检查或外科手术等确诊依据作对照,判断超声诊断准确度。
5.质控标准评分
超声心动图学组质控评分表
| 质量大类 | 质量细类 | 具体内容 | 分 值 | 得 分 | 扣分原因 | |||||
| 科室结构 | 仪器管理 | 5 | ||||||||
| (10分) | 环境要求 | 5 | ||||||||
| 基础质量 | 人员结构 | 上岗证书 | 5 | |||||||
| (30分) | (10分) | 人员配备 | 5 | |||||||
| 设备结构 | 仪器数量 | 5 | ||||||||
| (10分) | 仪器档次 | 5 | ||||||||
| 质量大类 | 质量细类 | 具体内容 | 分 值 | 得 分 | 扣分原因 | |||||
| 环节质量 | 流程结构 | 检查前 | ||||||||
| (30分) | (8分) | 检查时 | ||||||||
| 检查后 | ||||||||||
| 仪器操作 | 检查前 | |||||||||
| (8分) | 检查时 | |||||||||
| 检查后 | ||||||||||
| 常规诊断 | 检查前 | |||||||||
| (8分) | 检查时 | |||||||||
| 检查后 | ||||||||||
| 急 诊 | 24小时值班 | |||||||||
| (8分) | 报告发出时间 | |||||||||
| 随到随做 | ||||||||||
| TEE超声 | 术前检查 | |||||||||
| (8分) | 谈话记录 | |||||||||
| 消 毒 | ||||||||||
| 质量控制 | 图像采集 | 图像数量 | ||||||||
| (30分) | (10分) | 采集规范度 | ||||||||
| 阳性图留存 | ||||||||||
| 报告书写 | 报告内容齐全 | |||||||||
| (10分) | 诊断与描述相符 | |||||||||
| 签名者资质 | ||||||||||
| 随访质控 | 随访数量 | |||||||||
| (10分) | 诊断符合率% | |||||||||
| 误诊率 | ||||||||||
| 漏诊率 | ||||||||||
| 危急值上报例数 | ||||||||||
| 投诉次数 | ||||||||||
| 业务学习次数 | ||||||||||
0512-62362333



















































